
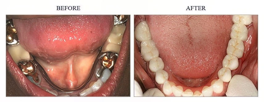
For years Elaine got along perfectly well with her lower teeth the way they were restored with gold crowns, gold inlays, and a removable partial denture. When she decided to get rid of the metal showing in her mouth we were able to get rid of her removable partial denture and restore her lower back teeth with non removable porcelain bridges and crowns. We didn’t do anything to her 6 lower front teeth other than bleaching them! Elaine is really happy with this awesome cosmetic and functional result and reports no sensitivity. “They feel and look great!”